מחזור ייחום כלבות

 
 
 
יש סיבות רבות לכשלון בזיווג כלבים. המרכזית בהן היא תזמון הרבעה לא נכון. קביעת מועד ההרבעה האופטימלי בכלבים, כמו בבני אדם, תלוי בשלב במחזור בו נמצאת הנקבה זאת אומרת בשלב ייחום כלבות, זמן בו הפוריות שלה בשיאה והסיכוי להפריה בין הזרע לביצית הוא מקסימלי. לכן יש חשיבות רבה בהבנת מחזור הייחום התקין בכלבה על שלביו השונים.
מחזור ייחום כלבות כולל ייחום יחיד בכל מחזור והוא איננו עונתי במובן שהוא יכול לקרות בכל עונה ובכל זמן בשנה. כלבה מתייחמת בפעם הראשונה בין גיל 6-10 חודשים בגזעים קטנים ואף עד גיל שנתיים בגזעים גדולים.
 
 
ייחום כלבות
 
 
 
 
 
מחזור הכלבה מורכב מ-4 שלבים:
פרואסטרוס- מתחילת הדימום ועד לשלב הייחום הפעיל וקבלת הזכר, מתאפיין בדימום והתנפחות שפתי הבושת. הכלבה מושכת זכרים על ידי פרומונים המצויים בהפרשות הוגינאליות, השתן או השקים האנאליים לפי מחקרים שונים, אך לא תקבל זכר שינסה להרביעה בשלב זה (תסתובב, תתיישב או אף תתקוף). הפרואסטרוס קורה בהשפעת הורמון האסטרוגן ונמשך בממוצע כתשעה ימים. התא הדומיננטי הנראה במשטח שנלקח מהואגינה בשלב זה הוא תא הנקרא parabasal , וכן תאי דם אדומים רבים:

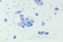
אסטרוס- ייחום כלבות פעיל, הכלבה מקבלת זכר ובמצב נורמלי תאפשר הרבעה. הבושת עדיין מוגדלת אך יש ירידה בנפיחות (ההגיון הביולוגי-כך יתאפשר הזיווג) וירידה בדימום. הביוץ מתרחש כ-2-3 ימים מתחילת שלה האסטרוס, וזמן ההרבעה האופטימלי הוא 2-4 ימים לאחר הביוץ. באסטרוס יש ירידה בהשפעת הורמון האסטרוגן ועלייה בהשפעת פרוגסטרון. התא הדומיננטי במשטח ואגינלי בשלב זה נקרא superficial או cornified:

דיאסטרוס- מתחיל עם הפסקת קבלת הזכר על ידי הכלבה. קורה בהשפעת הורמון הפרוגסטרון (מילולית: פרו=בעד, גסטרון=הריון. הורמון תומך הריון) אם נקלט הריון, זהו שלב הריון הכלבה, אך גם אם לא נקלט הריון, רמות הפרוגסטרון גבוהות בשלב זה ובהשפעתו יש התפתחות רקמת העטינים וייתכן אף ייצור חלב גם בכלבה הלא-הרה. נמשך כ 60 יום. התאים הדומיננטיים במשטח ואגינלי הם parabasal ו intermediate וכן תאי דם לבנים:

אנאסטרוס- התקופה השקטה במחזור פוריות הכלבה מבחינת התנהגות. באופן נורמלי הכלבה בשלב זה לא תמשוך זכרים ולא תקבל זכרים להזדווגות. הבושת קטנה והפרשות מעטות אם בכלל. מתחיל לאחר המלטה או ירידת ברמת הורמון הפרוגסטרון לרמה בסיסית. נמשך 3-5 חודשים ונחשב כפסק זמן בין ייחום כלבות. התא הדומיננטי הנראה במשטח וגינלי בשלב זה הוא parabasal.
 
 
ייחום בכלבות
 
ייחום כלבים
 
מחזור ייחום כלבה
 
 
 
 
 
גרף מחזור כלבות
 
 
 
הגרף הבא ממחיש את שלבי המחזור השונים, ההשפעות ההורמונאליות המשתנות בין שלב לשלב והתקופה הפוריה ביותר בייחום כלבות:זמן ההרבעה האופטימלי בכלבה הוא 2-4 ימים לאחר הביוץ, כלומר כ 4-7 ימים מתחילת הייחום.(שלב האסטרוס) קביעת הזמן המדויק נעשה על ידי סימנים התנהגותיים של הנקבה (נפיחות הבושת, דימום, קבלת זכר ועוד), על ידי משטחים הנלקחים מהואגינה ואשר נבחנים במיקרוסקופ לקביעת אופי התאים בהפרשה הואגינלית ועל ידי בדיקות דם לזיהוי רמות הורמונים בדם. רק אבחון משולב כזה יכול לקבוע ברמת ודאות גבוהה את מועד ההרבעה המדויק ולהעלות את סיכויי הצלחת ההרבעה למקסימום.